Queratouveítis: causas, síntomas y opciones de tratamiento de esta inflamación ocular
- ¿Qué es la queratouveítis y cómo afecta la salud ocular?
- Causas comunes de la queratouveítis: factores de riesgo y desencadenantes
- Síntomas y manifestaciones de la queratouveítis: cómo identificar la inflamación ocular
- Opciones de tratamiento para la queratouveítis: enfoques médicos y terapias efectivas
- Prevención de la queratouveítis: consejos para proteger tu salud visual
- Importancia de la detección temprana de la queratouveítis en la salud ocular
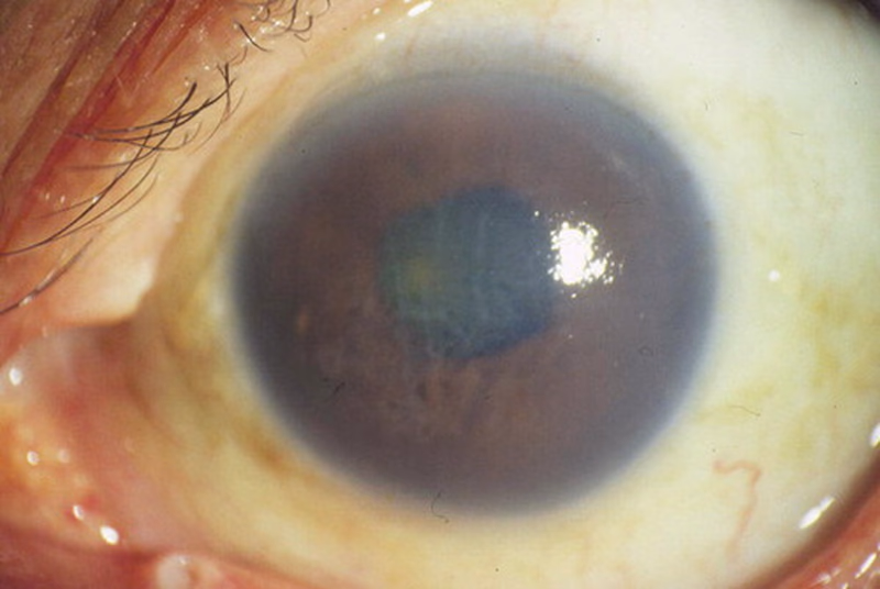
La queratouveítis es una inflamación ocular que afecta tanto la córnea como la úvea, partes esenciales del ojo que desempeñan roles cruciales en la visión. Esta patología puede surgir por diversas causas, incluyendo infecciones, enfermedades autoinmunitarias o traumas, y puede manifestarse de diferentes maneras en los pacientes.
En este artículo, abordaremos Queratouveítis: causas, síntomas y opciones de tratamiento de esta inflamación ocular, proporcionando información relevante para ayudar a identificar y manejar esta condición. Reconocer los síntomas a tiempo es fundamental para evitar complicaciones y preservar la salud visual.

¿Qué es la queratouveítis y cómo afecta la salud ocular?
La queratouveítis es una condición compleja que puede comprometer seriamente la salud ocular. Al afectar simultáneamente la córnea y la úvea, puede llevar a la disminución de la agudeza visual y, en casos severos, a la pérdida de la visión. Esta inflamación puede desencadenarse por una variedad de factores, como infecciones virales, bacterianas o fúngicas, así como por trastornos autoinmunitarios que alteran la respuesta del sistema inmunológico.
Los síntomas de la queratouveítis son variados y pueden incluir:
- Enrojecimiento ocular
- Dolor o malestar en el ojo
- Visión borrosa o distorsionada
- Fotofobia (sensibilidad a la luz)
Estos síntomas pueden aparecer de manera repentina y es importante que los pacientes busquen atención médica inmediata para evitar complicaciones que pueden afectar de forma duradera su salud ocular.
Además, la queratouveítis puede llevar a complicaciones significativas como:
- Cicatrices corneales
- Glaucoma secondary
- Desprendimiento de retina
Estas situaciones pueden surgir si la inflamación no es tratada adecuadamente o si se presenta de forma recurrente, lo que subraya la importancia de un diagnóstico temprano y un tratamiento efectivo.
El tratamiento de la queratouveítis varía según la causa subyacente, y puede incluir:
- Antiinflamatorios no esteroides
- Antibióticos o antivirales
- Corticoides tópicos o sistémicos
La elección del tratamiento adecuado es clave para controlar la inflamación y preservar la salud ocular, por lo que un seguimiento regular con un especialista es fundamental.
Causas comunes de la queratouveítis: factores de riesgo y desencadenantes
La queratouveítis puede ser desencadenada por una variedad de factores, y entre las causas comunes se encuentran las infecciones. Estas pueden ser virales, bacterianas o fúngicas, y pueden surgir a partir de enfermedades como el herpes simple, la sífilis o la toxoplasmosis. La exposición a ambientes contaminados o la falta de higiene también puede aumentar el riesgo de desarrollar esta inflamación ocular.
Además, las condiciones autoinmunitarias son un factor importante en la aparición de la queratouveítis. Enfermedades como la artritis reumatoide o el lupus eritematoso sistémico pueden provocar un ataque del sistema inmunológico contra las estructuras del ojo, causando inflamación. Otros factores de riesgo incluyen antecedentes familiares de enfermedades oculares y ciertas afecciones hereditarias que predisponen a la inflamación ocular.
Entre los desencadenantes no infecciosos, se destacan los traumas o lesiones oculares, que pueden ser el resultado de accidentes o intervenciones quirúrgicas. Asimismo, la exposición a radiaciones, como la luz ultravioleta, puede irritar y dañar las partes del ojo afectadas, contribuyendo al desarrollo de la queratouveítis. Por último, el uso prolongado de lentes de contacto sin la higiene adecuada también está asociado con un mayor riesgo.
Es esencial que las personas estén atentas a estos factores de riesgo y busquen atención médica ante cualquier síntoma ocular. La detección temprana de la queratouveítis puede ayudar a prevenir complicaciones severas y a preservar la visión. Mantener un seguimiento regular con un oftalmólogo es clave para quienes tengan predisposición a esta condición.
Síntomas y manifestaciones de la queratouveítis: cómo identificar la inflamación ocular
La identificación de los síntomas de la queratouveítis es fundamental para un diagnóstico temprano y efectivo. Los síntomas más comunes pueden variar en intensidad y pueden presentarse de manera abrupta, lo que requiere atención inmediata. Es vital que los pacientes presten atención a las siguientes manifestaciones:
- Enrojecimiento del ojo y párpados
- Dolor agudo o sensación de ardor
- Visión borrosa que puede progresar
- Incremento en la sensibilidad a la luz
Además de los síntomas visuales, los pacientes pueden experimentar otros signos que indican la presencia de inflamación ocular. Estos pueden incluir:
- Desgarro excesivo o sequedad ocular
- Alteraciones en el tamaño de la pupila
- Visión de destellos o moscas volantes
La combinación de estos síntomas puede ser un indicador claro de queratouveítis. Ante la aparición de cualquiera de estos signos, es crucial consultar a un especialista en salud ocular para recibir un diagnóstico y tratamiento adecuados.
El examen clínico por un oftalmólogo es esencial para confirmar la presencia de queratouveítis. A continuación se presentan algunos métodos que utilizan los especialistas para evaluar esta inflamación:
| Método | Descripción |
|---|---|
| Examen con lámpara de hendidura | Permite observar detalles de la córnea y la úvea para detectar inflamaciones o lesiones. |
| Pruebas de visión | Evalúa la agudeza visual para identificar posibles daños en la función visual. |
| Pruebas de presión intraocular | Determina si hay un aumento de presión que podría indicar complicaciones como glaucoma. |
Opciones de tratamiento para la queratouveítis: enfoques médicos y terapias efectivas
El tratamiento de la queratouveítis se centra en abordar tanto la inflamación como la causa subyacente de la afección. Los médicos suelen optar por un enfoque multimodal que puede incluir el uso de corticoides para reducir la inflamación y aliviar los síntomas. Estos pueden administrarse tanto de manera tópica como sistémica, dependiendo de la gravedad de la condición y la respuesta del paciente al tratamiento inicial.
Además de los corticoides, es fundamental que los pacientes reciban antibióticos o antivirales si la queratouveítis es causada por una infección. Estos medicamentos son esenciales para combatir patógenos específicos y prevenir complicaciones adicionales. En algunos casos, se pueden considerar inmunosupresores para aquellos pacientes que padecen enfermedades autoinmunitarias que contribuyen a la inflamación ocular.
Las terapias complementarias, como la hidratación ocular mediante lágrimas artificiales, también pueden ser beneficiosas para aliviar la incomodidad y mejorar la calidad de vida del paciente. Es importante que los pacientes sigan las recomendaciones del especialista y mantengan un seguimiento regular para evaluar la efectividad del tratamiento y realizar ajustes si es necesario.
Por último, la educación del paciente juega un papel crucial en el manejo de la queratouveítis. Conocer los síntomas de alerta y los factores desencadenantes puede ayudar a los pacientes a buscar atención médica temprana y a seguir las pautas de tratamiento adecuadas. Esto no solo mejora los resultados visuales, sino que también contribuye a una mejor calidad de vida a largo plazo.
Prevención de la queratouveítis: consejos para proteger tu salud visual
La prevención de la queratouveítis es fundamental para proteger la salud visual y evitar complicaciones a largo plazo. Una de las principales recomendaciones es mantener una higiene ocular adecuada. Esto incluye lavarse las manos antes de tocarse los ojos y evitar el uso de lentes de contacto en ambientes polvorientos o húmedos sin la debida limpieza. Además, es importante seguir las instrucciones del fabricante y del oftalmólogo sobre el uso y reemplazo de las lentes de contacto.
Otra medida preventiva clave es proteger los ojos de la exposición a la luz ultravioleta y otros irritantes ambientales. Usar gafas de sol con protección UV al aire libre y gafas de seguridad en entornos laborales de riesgo puede reducir significativamente la probabilidad de desarrollar inflamaciones. También se recomienda evitar el uso excesivo de pantallas sin descansos regulares, para prevenir la fatiga ocular.
Es esencial llevar un control médico regular, especialmente para aquellos con antecedentes de enfermedades oculares o condiciones autoinmunitarias. Realizar chequeos oftalmológicos periódicos permite detectar cualquier anomalía a tiempo y tomar medidas preventivas adecuadas. Durante estas visitas, el especialista podrá proporcionar consejos personalizados sobre cómo cuidar mejor de la salud ocular y prevenir la queratouveítis.
Finalmente, la educación sobre los síntomas iniciales de la queratouveítis puede ser vital para la detección temprana. Conocer las señales de advertencia, como el enrojecimiento ocular, dolor o visión borrosa, permite a los pacientes buscar atención médica oportuna. Cuanto más pronto se inicie el tratamiento, mejor será el pronóstico para la salud visual a largo plazo.
Importancia de la detección temprana de la queratouveítis en la salud ocular
La detección temprana de la queratouveítis es crucial para preservar la salud ocular. Identificar los síntomas en sus primeras etapas puede prevenir complicaciones graves, como el deterioro de la visión o el desarrollo de cicatrices corneales. La rapidez en el diagnóstico permite a los oftalmólogos implementar un tratamiento adecuado que puede ser decisivo para evitar consecuencias a largo plazo.
Entre los beneficios de la detección temprana, se destacan:
- Reducción del riesgo de daño permanente en la visión.
- Oportunidad de tratar la causa subyacente de manera efectiva.
- Mejora en la calidad de vida del paciente al aliviar síntomas de forma temprana.
Además, un diagnóstico oportuno facilita el monitoreo de la progresión de la enfermedad. Esto permite a los especialistas ajustar el tratamiento según la respuesta del paciente, optimizando así los resultados visuales y reduciendo la posibilidad de complicaciones como el glaucoma secundario o el desprendimiento de retina.
Por último, es importante que los pacientes estén informados sobre la importancia de acudir al oftalmólogo ante los primeros signos de la queratouveítis. Un enfoque proactivo en la salud ocular no solo favorece la detección temprana, sino que también fomenta hábitos de autocuidado que pueden contribuir significativamente a la prevención de la inflamación ocular.

Seguro que te interesará...